Мои работы
Здоровые зубы это не только красота, но и внешний показатель здоровья всего организма человека

Разве не достаточно видеть, что сад прекрасен, без необходимости верить, что на его дне живут феи?

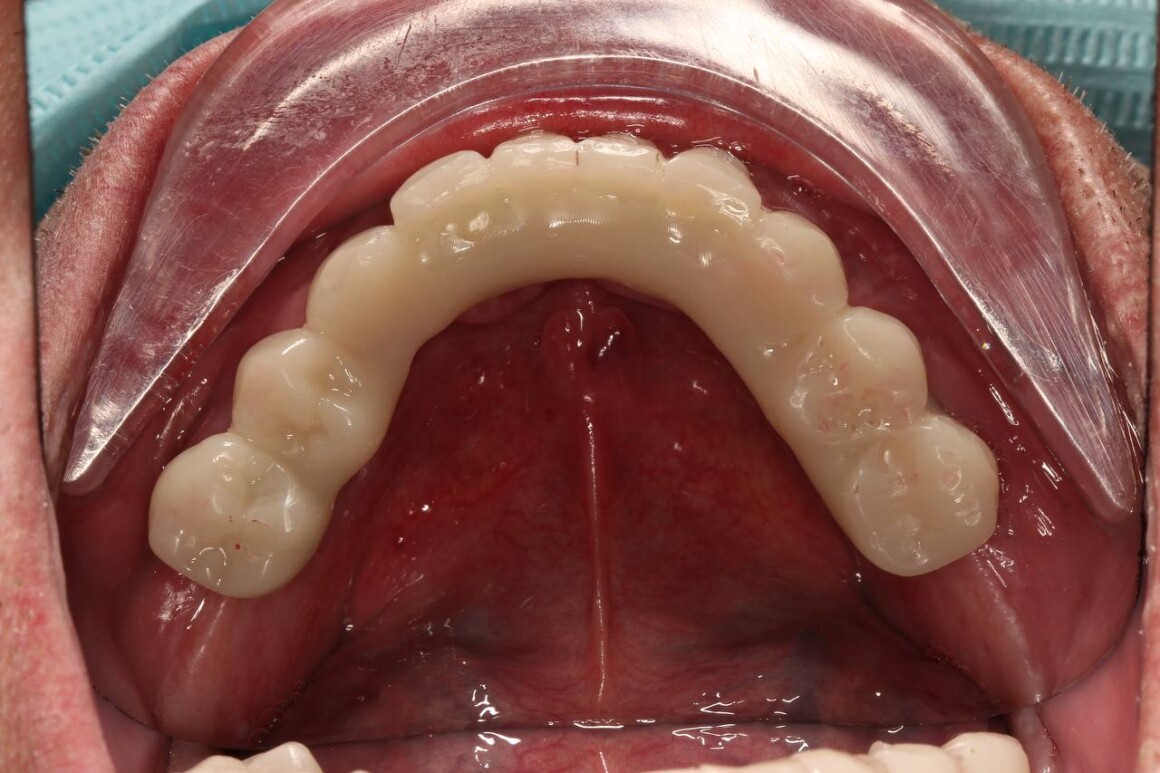
Постоянный протез ALL on 6 на верхней челюсти
Адаптационные протезы ALL on 4
Адаптационные протезы ALL on 4
Имплантация ALL on 4 на верхней и нижней челюстях в день операции
Имплантация ALL on 4 на верхней челюсти